Category: Diseases & Treatments
Imagine gradually losing the ability to express yourself -; not because you’ve forgotten the words, but because they simply won’t come out. This is the reality for individuals living …
Metrion Biosciences (“Metrion”), the specialist preclinical contract research organization (CRO) and a leader in ion channel screening, today announced the appointment of Lee Patterson as its new CEO, effective …
Scientists at örebro University have identified specific protein patterns in blood that can predict inflammatory bowel disease (IBD) up to 16 years before diagnosis. In particular, Crohn’s disease can …
Two rival hospitals in Terre Haute, Indiana, pulled back their merger application Monday, just days before the state was due to rule on the deal amid growing backlash to …
Min Li, Ph.D., a George Lynn Cross Professor of Medicine, Surgery and Cell Biology at the University of Oklahoma College of Medicine and Associate Director for Global Oncology at …
Prof. Heiko Lickert is the director of the Institute of Diabetes and Regeneration Research at Helmholtz Munich, professor at the Technical University of Munich (TUM), and member of the …
Tagomics Ltd., a pioneering biomarker discovery and diagnostics company, today announced it has entered into a strategic co-marketing agreement with Agilent Technologies, a leading tools provider in the genomics …
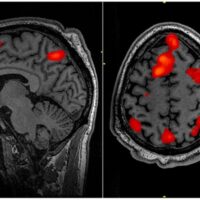
Depressed individuals who reflexively attempt to dampen their initial emotional responses to reminders of their negative memories have a low tolerance for distressing emotional stimuli in general and may …
Researchers are calling for a formal process that recognises and acknowledges the invaluable contributions of those with lived experience in healthcare research. New research by Flinders University published in …
Brazil’s coffee habits spark concern: study reveals how sweeteners and declining milk intake are reshaping diets and raising health risks. Study: Coffee Intake in Brazil Influences the Consumption of …